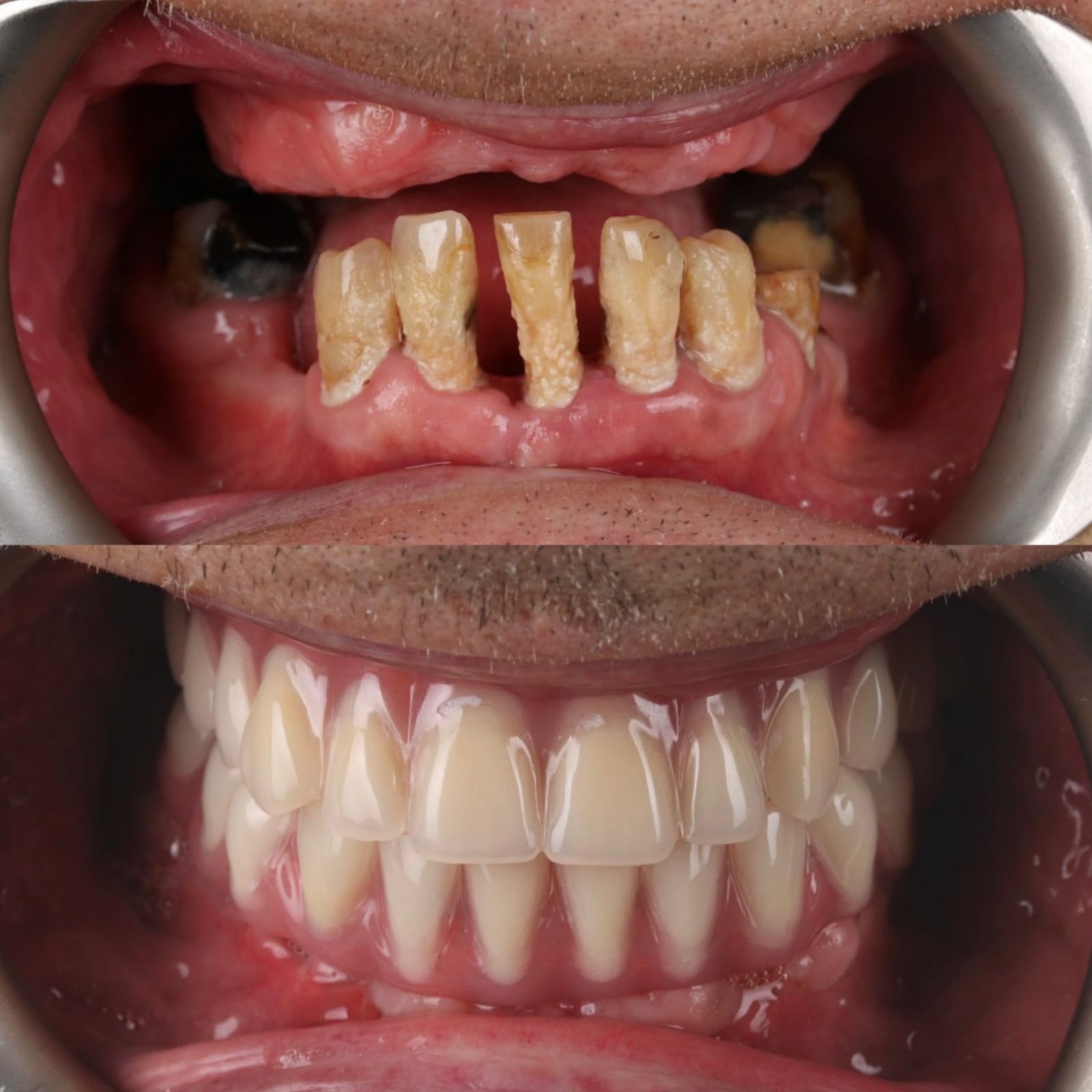
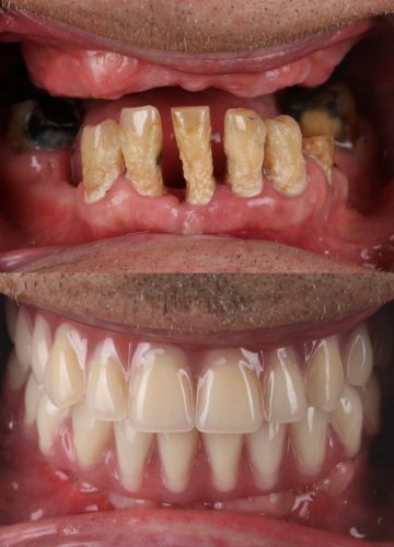
Abu žokļu atjaunošana - 12 implanti un tūlītēja protezēšana

Veicām ''all on X'' tipa operāciju.

Ekstrahējām zobus ar sliktu prognozi un uzreiz ievietojām zobu implantus, un pagaidu akrila-titāna konstrukciju (pagaidu zobi)