29 616 143
Smiltenes poliklīnika 2. stāvs, Dakteru iela 14
Sākums
Par Mums
Galerija
Pakalpojumi
Cenas
Speciālisti
Kontakti
29 616 143
Smiltenes poliklīnika 2. stāvs, Dakteru iela 14
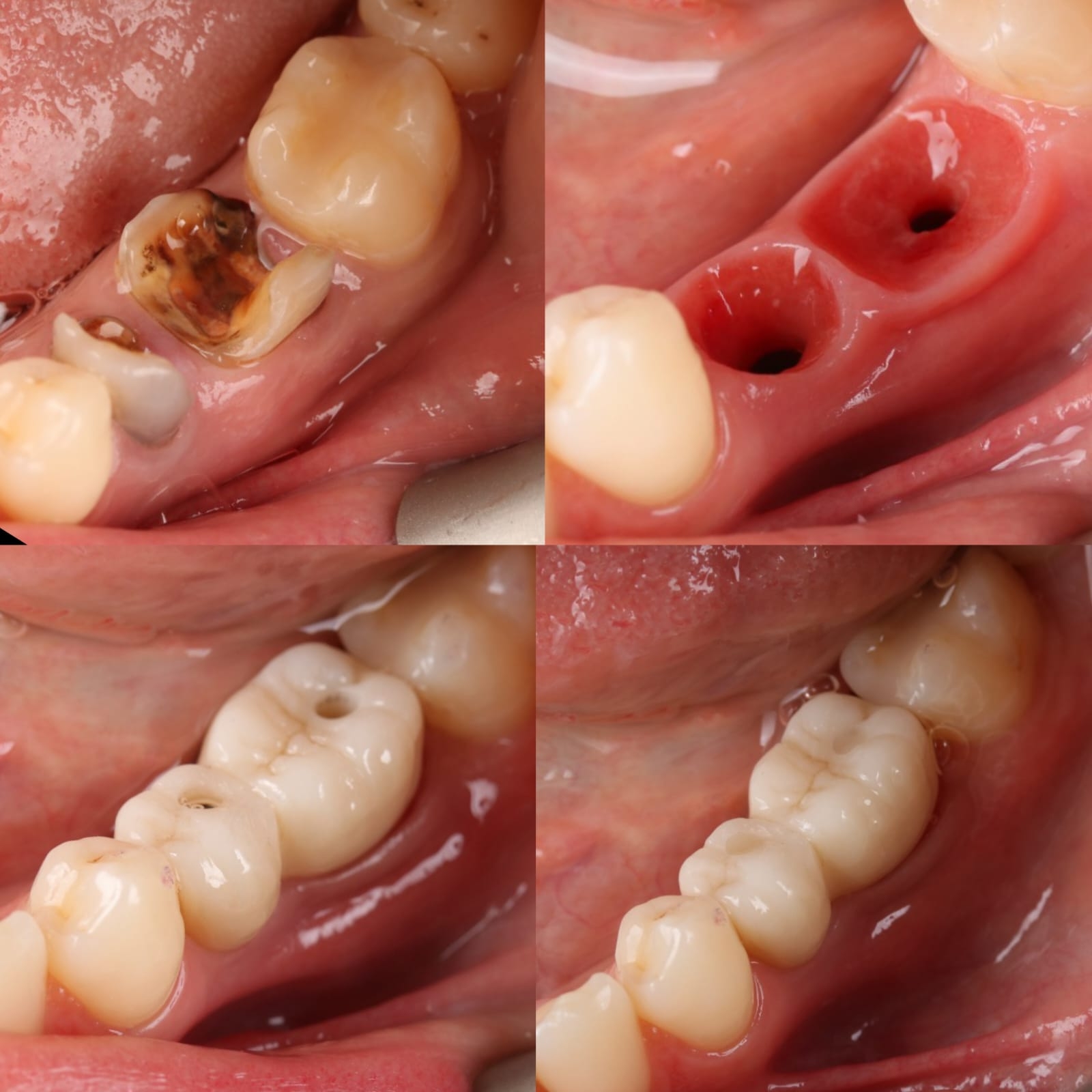
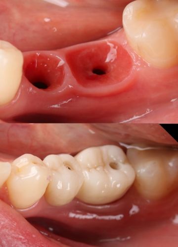
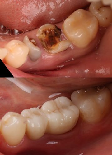
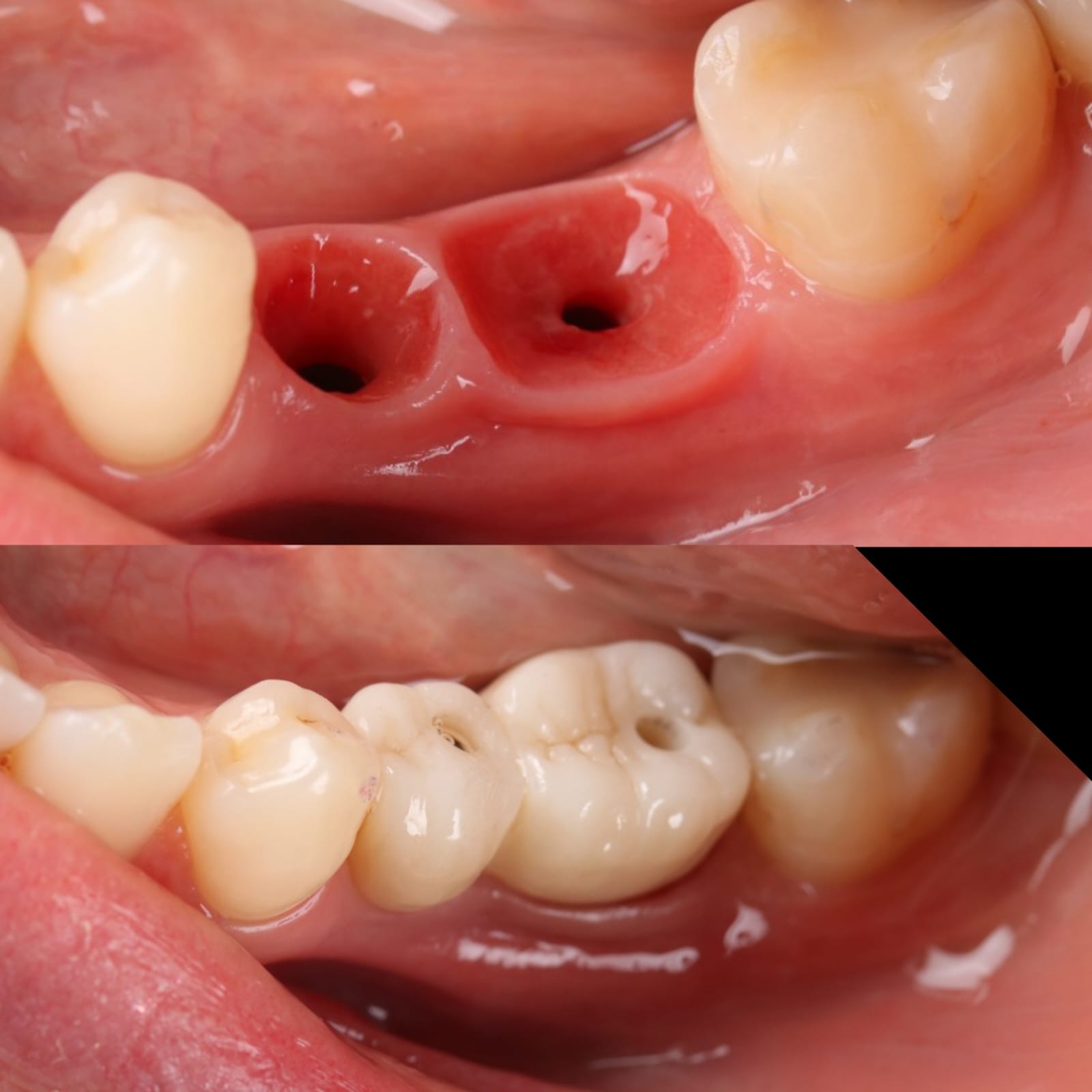
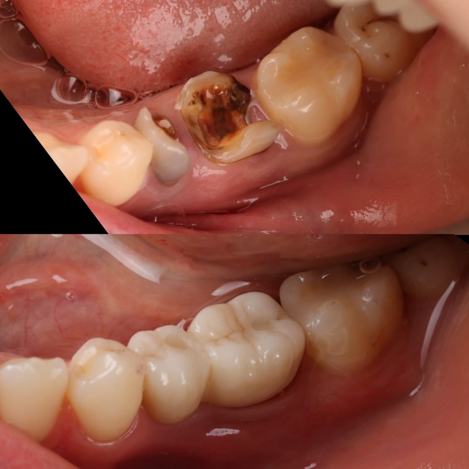
Divu neatjaunojamu zobu aizvietošana ar implantiem un cirkonija kroņiem (2)